
there is No effect without side effect – this rate also applies to hormonal contraceptives. The type of side effect, with the help of a 31-year-old woman from Portugal has been confronted, however, exceed the usual normal expectation: in 2010, the woman had decided to have a Hormone implant to prevent pregnancy in the Arm to use. The implant must be changed every three years, 2013 to 2017, was not the case. But the third sticks prepared for unexpected problems: It was as a journeyman, and remained in the lung insert. How could this happen?
Japan, A man coughs and kidney disease – the debt of his apartment
reports, such As the doctors in the journal “BMJ Case Reports”, had noticed the young woman initially unaware of the complication. She reported, however, of abnormal bleeding, which lasted for three months. Therefore, you had also consulted the gynecologist of a hospital Rate. The Doctors examined the woman, and tried, the Hormone implant in your Arm to locate initially in vain.
The hormone, or for the prevention of chopsticks is made of plastic, in which a hormone (Etonogestrel) is. It is four inches long and measures two mm in diameter. The swab is placed at the inner side of the upper arm under the skin, where it emits continuously the hormone and thus pregnancy is prevented. Among other things, the included hormone thickens the Mucous plug at the cervix; sperm cannot enter the uterus.
x-ray images have Doctors the way
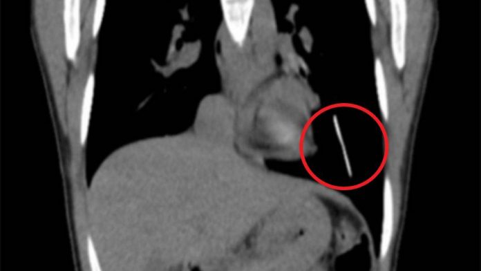
the 31-year-old patient, the Doctors finally found: the rods containing barium sulfate, it was seen on x-ray images of the chest area. A further CT scan confirmed that the plastic rod in a blood vessel of the left lower lung was stuck.
Lost bet, This x-ray image makes you speechless: man gets a year-long spoon in the neck
As the swab was in the lung? In the article, two different possibilities are discussed:
– Is used, placed the chopsticks incorrectly, for example too deep in the Arm – Hiking sticks in a vein and the blood flow in the lungs.
– Also, avoid excessive physical exertion after the Onset could have sent the swab on the move.
is That an implant gets into the lung, was “very rare”, emphasize the Doctors in the journal. In the literature, only a few such cases are described.
The 31-year-old patient had to be operated. Surgeons removed the foreign body using a Video-assisted Thoracoscopy. A special endoscope is inserted into the lung; the surgery is usually done under General anesthesia.
The intervention was successful, and the patient was able to leave the hospital four days later. In a follow-up appointment, no complications were observed. Also the wounds were well healed. If the patient continues to use chopsticks Hormone or any of the other prevention method is switched, don’t write the doctors.
source: BMJ Case Reports
ikr topics in this article for the prevention of woman track lung Portugal search New in health palate seam extension painted a cross and Overbite, and tells the story of his cleft Palate By Susanne shooting display star travel worlds Sicily in the spring with flight and half Board from € 899,- protection against infection from tick bite, and now? What you should do – and what not mites, weld and co. How often are your sheets actually should switch to self-defense Three ultimate Tricks for women against attackers By Katharina Frick Interview-tolerance instead of taboo, “He jumped up and hugged me”: Jörg Beißel lives openly HIV-positive – such is the fate of him Of Ilona Kriesl Multimedia Reportage “The donation” The last gift of the people, the had no Chance — a Stranger but a gives oatmeal “Ökotest” checks for Trend-Breakfast Porridge – from the most well-Known, you should the Finger work conditions and pollutants “Ökotest” checks Jeans for women: In 15 pairs of trousers, a cancer suspect substance is fasting, 8 hours eating, 16 hours fasting Interval – how healthy is the Trend? Lea Wolz programs of the health insurance Slimming Slim and fit on the chip card 40 new Levels of Mahjong – free to play! Play, lose weight with Shakes diet powder – useful or just expensive? Lea Wolz diet for Diabetes Also Diabetic Snacking Barmer “For pulsating nights of may”: health insurance recommended Masturbation as a sleep aid Healthy weight loss life fasting Interval: The “Hirschhausen-diet” is now also available as an App From Catrin Boldebuck diet sugar free of the new Vegan – but just how healthy is the Trend? DPA diets in Check So useful to the blood group diet is well Rested to get up This is the perfect time for sleep, in the morning recovered The Hirschhausen waking up diet lose weight with intermittent fasting – four success stories of Healthy living, readers The the Eight-hour-diet Puzzling incidents is no good in Cuba Suspected sound-Slimming-attacks: researchers discover abnormalities in the brains of U.S. diplomats















