
Photos: pubs.rsna.org
Doctors from China showed pictures of the lungs of a patient infected with coronavirus. About it reports RIA Novosti news Agency.
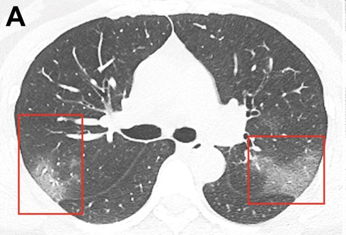
it is Noted that the image was obtained using computer tomography 33-year-old resident of Lanzhou city. Previously, she was hospitalized with a temperature of 39 degrees.
So, in a single shot recorded opacities that create a dulling effect. In the picture, taken three days later, it is noticeable that the affected area becomes larger.
“On the basis of epidemiological characteristics, clinical manifestations, imaging of the thorax and laboratory data was diagnosed with “pneumonia 2019-nСоV”, – said the medics.
the First reports of the outbreak of the novel coronavirus emerged in December. The epicenter of the disease was recorded in Wuhan, Hubei province. According to the latest information, the virus has infected more than 17 thousand people, more than 350 died.
In connection with the prevention of the spread of pneumonia Russia has suspended the movement of all passenger trains with China. In addition, a decision was taken to close all flights of the airlines in the PRC, except for flights of “Aeroflot” in Beijing, Shanghai, Guangzhou and Hong Kong. We also learned about the possibility of the suspension of Charter flights.
the Number of victims of coronavirus in China increased to 362
see also
Foreigners with the coronavirus may be deported from Receipies parcels from China proposed a ban due to coronavirus















